Artwork by @CatherineRRye

Drawn to Nature

By Chris Jarvis, Education Officer

With lockdown and the long winter nights shuffling the nation’s emotions like a ham-fisted magician with a damp deck of cards, we have no doubt all suffered from a case of the winter blues at some point recently. While the Museum and its inspiring specimens have been closed to visitors we have tried out some new approaches to bring you the solace and creative inspiration that nature can provide.

events manager Laura is seen leaning over a lighting set-up that is shedding light on a table with specimens.
Events manager Laura hard at work on a lighting set-up for a Drawn to Nature live stream.

Drawn to Nature is a new series of online events designed to lift people’s spirits with a combined art and science activity. Originally planned as a wellbeing event to take place in the Museum, the online version was created in response to the last lockdown. We start each session with a short talk by a member of the Museum’s collections or research team, who share their passion for a selection of favourite specimens. The talk is followed by a chance for viewers to explore their creative sides by drawing the specimens, while learning more by about them through some Q&A.

It’s not an art lesson as such, but more a chance for people to find inspiration from some of the jewels of the natural world held in our collections. We hope it helps people to relax, find inspiration, immerse themselves in a creative activity, and learn a little natural history at the same time.

Click the gallery images to zoom and see credit information.

Our first session came from Life Collections manager Mark Carnall, who talked us through the natural history of Nautiloids, the fascinating shelled molluscs that are related to other cephalopods such as squid and octopus. Lit and arranged beautifully by our Events Manager Laura Ashby, their intricate chambered shells and 100 tentacles proved a challenging subject, but one that resulted in an array of wonderful artworks in a variety of styles and media shared on social media.

Following Mark’s talk, we explored some of the wonderful specimens from our entomology collections with our expert speaker Zoe Simmons, Head of Life Collections. Zoe picked out some of the most beautiful flies from our five million-plus insects. Using microscopes, specialist lighting, and careful placement, the specimens were a real hit and again followed by some inspired artworks posted online by attendees from across the world (‘best night of lockdown yet!’ enthused one attendee).

Click the gallery images to zoom and see credit information.

And there’s more to come. Tomorrow evening (Wednesday 10 March), Earth Collections Manager Dr Hilary Ketchum introduces the strange-looking carnivorous marine reptiles of the Jurassic – the plesiosaurs. We hope to bring you yet more of the inspirational well-being the natural world has to offer.

You can watch the Drawn to Nature streams online in the playlist on our YouTube channel:

To sign up for our next event, visit www.oumnh.ox.ac.uk/events

Top image: Artwork by @CatherineRRye

Drawn to life

A set of illustrated cartoons of the heads of eleven people with their names handwritten underneath

By Rachel Simpson

Worms, fish and … Greenland? Hugely different topics which all have one thing in common – the Museum’s First Animals exhibition online lecture series. Running every other Wednesday from May until September 2020, this series provided a fantastic insight into a wide range of topics about how the first animals lived, died, and are studied. And illustrator Rachel Simpson tells us how she drew her way through them all…

I came across this lecture series just before the first talk and I knew I had to sign up. Drawing along to lectures is a hobby I seem to have developed in the past few months as we went into lockdown and didn’t have much to do. It’s the perfect combination for me – an opportunity to listen to interesting topics and brush up on my live drawing skills at the same time. There’s no pause button, there’s no asking the webinar speaker to just go back a few slides and hold on a minute whilst I draw; it’s fast paced, it’s inspiring and it’s a great way to just create art.

Barma Booties used on the rocks at Mistaken Point, and my first drawing of the series.

I’ve done some illustration work with the Museum before so I knew that it was going to be fun. In 2018, I worked with Dr Jack Matthews illustrating Ediacaran Fossils as part of a collaborative university project between the University of Plymouth and the Museum. I was also lucky enough to be able to go to Newfoundland and see some of the fossils myself, again with Jack. This was such an incredible opportunity and opened up a whole new world of science/art collaborative work which I didn’t know about before.

The First Animals series kicked off with Jack’s talk titled Don’t walk on the rocks! – an interesting insight into how protective “Barma Booties” (some rather funky socks worn to protect fossil sites such as Mistaken Point, Newfoundland) might actually be damaging to the fossils they’re meant to be protecting. Having been to Mistaken Point myself and worn these socks, it was interesting to hear about their possible impact and to learn about the experiments conducted to prove this fact.

Of course, at the same time as Jack was talking, I was scribbling away in my sketchbook trying to form some sort of visual response to the talk. At the end of the hour I’d managed a portrait of Jack and a family of Barma-Booted tourists trampling on the fossil site. It was a start. The beginning of my lecture drawings and a point at which I can retrospectively say started a new hobby.

Annelid worms drawn with Tombow brush pens.

Over the following weeks we heard about worms from Dr Luke Parry; 3D reconstruction from Dr Imran Rahman; The Chronicles of Charnia by Dr Frankie Dunn; and the first animal skeletons from Dr Duncan Murdock. Luckily for me, all the speakers kindly included photos and descriptions of the topics they were discussing which meant that I was never short of visual inspiration for my drawings. After all, it’s hard to try and draw an annelid worm if you’ve never seen one before.

I love to look at the fossils being discussed and then try to draw a little character or creature inspired by them. They’re not scientifically accurate, nor are they always anatomically correct, but they have character and begin to bring to life the essence of something that’s been dead for many millennia. The fossils are obviously stone-coloured so I take as many liberties as possible when it comes to colour. I like to make them as vibrant and colourful as I can, so although they probably didn’t look like that, that’s how I like to think they looked.

Within my wider practice I like to use stamps as the basis of my illustrations. These however, are time consuming to make and therefore not very suitable for when I’m drawing along to lectures. As a result I’ve found myself using brush pens and pencils to make my lecture illustrations. If you’re interested in art, or thinking about getting into art, brush pens will be your best purchase. They create a wonderful quality of line and are quick and easy to use. Whereas a ballpoint pen will give you one line of a certain weight and thickness, brush pens are versatile and depending on the pressure applied, the line quality will change.

For the first few lectures I only used brush pens, but later on I decided to use coloured pencils as well, to add depth to the drawings. As I got more used to drawing in lectures I found that I was making more illustrations per talk. Early on, I managed to finish maybe a double page in my sketchbook but towards the end of the series I was filling four double pages! It’s amazing what a little bit of practice can do.

As the weeks went by the talks continued and we heard about the evolutionary origin of animals from Museum director Professor Paul Smith; an introduction to taphonomy, the study of fossilisation, by Professor Sarah Gabbott; and how the first animals moved by Professor Shuhai Xiao.

During this time I became a lot more confident drawing the specimens; looking back I can see that this was the period in which my work developed the most. My drawings began to have more character and life. The landscape drawings were slowly becoming more realistic and detailed. This was great news for me as this whole endeavour began as a way to practice my drawing skills in a timed environment.

Paul Smith’s lecture has to be my favourite of them all. He gave a wonderful talk all about the Evolutionary Origin of Animals and talked us through his fieldwork expedition to Greenland. How I would have loved to have been on that trip!

It was during Paul’s talk that I made one of my favourite drawings from the series – the plane – and coincidentally it was also at this point that I bought myself some new polychromo pencils. I started using these pencils in my illustrations on top of the Tombow brush pens. The pencils added a softer layer on top of the solid base colour from the brush pens and meant that I could add more details, shading and most importantly, the characterful eyes I love to add to my drawings.

Buoyed by this development in my drawings, and some lovely responses to my work on Instagram and Twitter, I raced through the next few weeks of talks and made twelve pages of drawings over the next four talks. Professor Derek Briggs told us all about extraordinary soft-bodied fossils; Professor Gabriela Mángano told us about the trace fossil record; and Professor Rachel Wood gave us her thoughts about what triggered the Cambrian Explosion.

Another of my favourite drawings from the series was from Derek Briggs talk about extraordinary soft-bodied fossils. Here, I made a small series of drawings based on some of the animals mentioned in the talk and as soon as I’d finished drawing them I wished that they were real and that I could pop them in a fish tank and keep them as pets. These drawings got the best response on social media too and it’s wonderful now to look back and compare these drawings to the work I was creating at the beginning of the series.

Two images of coloured drawings of extinct marine creatures side by side
Comparison between week 2, Luke Parry’s talk (left), and Week 9, Derek Briggs’ talk (right): What a difference 16 weeks of drawing practice makes!

The First Animals series may be over but keep your Wednesday evenings free because there are more talks to come! The next series, “Visions of Nature”, starts on 8 October so make sure you join us then! A huge thank you to all the speakers, to Jack for hosting and to the Museum for running the events.

To see more of Rachel’s illustrations visit www.rachelerinillustration.co.uk.

Excavating amber

First amber excavation in the El Soplao outcrop, Cantabria, N Spain in 2008. Credit IGME-UB.

By Dr Ricardo Perez-De-La Fuente, Research Fellow

Amber, or fossilised plant resin, is a unique material to learn about the history of life on Earth. Its incredible preservation and ability to capture life “in action” are well known thanks to the Jurassic Park saga, but fewer people know where amber is found, what it looks like in the field, and how it is gathered.

Cretaceous amber, about 130 to 70 million years old, is the oldest amber that provides abundant fossils, specifically insects and spiders. Ecosystems drastically changed during this period due to global greenhouse conditions and the diversification of flowering plants, among other factors. Amber from that time has been discovered in Lebanon, Spain, France, Myanmar, eastern United States, Canada, and northern Russia.

My research team and I carry out regular amber excavations in northern Spain, working in teams of six to ten people. The outcrops that we excavate are often located next to roads and highways because amber is typically uncovered during roadworks. Excavations take place during the summer or fall to try and minimise the risk of rain, and we usually embark on one field trip each year.

The goal is to recover as much amber as possible – usually a few kilograms – from the muddy and sandy sediments. These materials were transported downstream tens of million of years ago by heavy rain and river swellings from the forests where the resin was produced, before being finally deposited in near-shore areas.

Manual extraction of amber. Credit IGME-UB
Manual extraction of amber in the El Soplao outcrop, Cantabria, northern Spain in 2008. Credit: IGME/UB.

I find amber excavations quite romantic. In the field, amber has a dull appearance that makes it difficult to distinguish from rocks or woody remains. This is due to an opaque crust resulting from oxidation in the sediments and other processes.

This outer layer makes detecting potential fossils inside the amber highly unlikely while the excavation is ongoing. So, in the field we just gather as many amber pieces as possible, and hope for the best.

Only when amber is polished – or shows broken surfaces – does its distinct yellowish to reddish shine emerge, and any possible fossils within become evident. Some ambers are highly fossiliferous, while others are very poor in fossils.

Amber can be gathered by hand using regular tools such as hammers. However, the most efficient method to extract amber from soft sediments is with concrete mixers! This rather unsophisticated piece of equipment provides the best way to recover medium quantities of amber in the field.

We charge water and amber-bearing sediments into the mixer, and after stirring for a while amber floats to the top because it is less dense than muddy water. Then, the surface of the water containing the amber is poured into sieves, which separates even the tiniest pieces.

Amber pieces recovered in a sieve after washing
Amber pieces recovered in a sieve after having been “washed” from their sediment. First amber excavation in the La Manjoya outcrop, Asturias, northern Spain in 2017.

After fieldwork, many hours will be spent looking for fossils within the amber and preparing them. Gathering raw amber is just the first part of a process in unearthing the secrets held within – fragments of encapsulated time.

Top image: First amber excavation in the El Soplao outcrop, Cantabria, N Spain in 2008. Credit: IGME/UB.

Uncovering ancient threads

By Dr. Frankie Dunn, Research Fellow

Some of the very oldest complex, macroscopic communities on Earth appear in the fossil record about 570 million years ago and record the presence of a group of organisms – the rangeomorphs – with an unfamiliar body plan that, at their ultimate extinction, was lost from life’s repertoire.

Rangeomorphs are characterised by a strange frondose branching anatomy, where large primary branches host smaller branches which themselves host smaller branches again. This arrangement appears to maximise the surface-area to volume ratio of the organism, rather like a lung or a gill would today.

The smallest known rangeomorphs are less than a centimetre in length, but they grew huge and the largest records indicate they could stand more than two metres tall. There is no evidence to suggest that rangeomorphs were able to move around, rather, they lived stuck to the sea floor in the deep ocean, far below the reach of light.

Despite this strange set of characters, there is growing consensus that rangeomorphs likely represent very ancient records of animal life. However, they lived at such a remote time in Earth’s history that they do not possess any direct living descendants. Given all this, it may not be a surprise to hear that we know relatively little about how these organisms made their living and came to dominate the ancient seafloors.

Fig A
The UNESCO world heritage site Mistaken Point in Newfoundland, Canada, is one of the sites on which we find exceptionally preserved rangeomorph fossils. Photo: Alex Liu.

In order to better understand them, my co-author Alex Liu and I travelled to Newfoundland, Canada to explore the rocks which host these remarkable fossils and over the past few years we have made an unexpected discovery. We found that fine filamentous threads connect rangeomorph fronds of the same species, in some cases over many meters, though they are typically between two and 40 centimetres long.

N3
An undescribed rangeomorph fossil with filamentous connections at the base of the frond. We find that this species of rangeomorph can be connected to each other over meters! Photo: Alex Liu. 

It is possible that these filaments were involved in clonal reproduction, like strawberry plants today, but they may have had additional functions such as sharing nutrients or providing stability in strong ocean currents.

The discovery of the filaments means that we have to reconsider how we define an individual rangeomorph, and may help us understand how rangeomorphs (seemingly) rapidly colonised deep-sea environments. Either way, some reassessment of the palaeobiology of these unique organisms is certainly required!

More information:

  • Read the full research paper here.

 

Top image: Beothukis plumosa, a rangeomorph from Newfoundland showing the intricate branching anatomy of rangeomorphs. Photo: Alex Liu.

The genetic lottery: self-destruction or survival?

Illustrated strand of DNA

As one of the many scientists who contributed to our Settlers exhibition, geneticist Dr Calliope Dendrou from the Wellcome Centre for Human Genetics ran a Spotlight talk as part of the exhibition’s event programme, where she explained more about her research into genetics and autoimmune diseases…

Our genes make us who we are – they are what unite us a single species, Homo sapiens – but they are also what make us unique individuals, with a particular set of characteristics. Genes are made up of DNA inherited from one individual to the next, transmitting the code for life through time.

The DNA ‘alphabet’ comprises four letters, A, C, G and T, and three billion of these letters make up the complete human genome. Comparing two unrelated individuals, on average around one in 1,000 of the three billion letters will differ. Genetically speaking, each of us is 99.9 percent the same as every other unrelated person.

Studying our genetic composition and the similarities and differences between individuals is of interest from a historical, geographic and sociological perspective, as the Settlers exhibition at the Museum shows. But it can also have medical implications for our understanding of the types of diseases we are susceptible to.

1024px-Neutrophil_with_anthrax_copy
Immune cell (yellow) engulfing anthrax bacteria (orange). Image: Volker Brinkmann [CC BY 2.5], via Wikimedia Commons
My lab works on the genetics of autoimmune diseases, which affect some ten percent of people worldwide and include relatively common conditions such as rheumatoid arthritis, multiple sclerosis, and type 1 diabetes.

Autoimmune diseases arise when the cells of the immune system function inappropriately. The immune system is made up of millions of immune cells patrolling the body, sensing their environment and sending signals to each other.

If the body has been injured due to physical trauma or an infection, then upon receiving the right signals immune cells help to clear damaged cells or fight off pathogens. But sometimes immune cells can begin to respond to the wrong signals, triggering a self-destruction. When this happens they can destroy the body’s own tissues and organs and then autoimmune start to diseases develop.

Auto immune illustration
Autoimmune disorders in a nutshell –  illustration by Beatrice the Biologist

The common autoimmune diseases are very complex and are thought to result from a combination of genetic and environmental influences. Hundreds of genetic factors can influence someone’s risk of autoimmune disease development, so having a low or high risk is a genetic lottery – it depends on how many different genetic factors happened to have come together for that person.

We are investigating the biological consequences of these genetic factors to find better ways to target the immune cells that are attacking the body. The trick is to do this without suppressing the immune system’s ability to fight off infection, a problem associated with drugs used treat autoimmune disease patients today.

The winning brainwave

If you could create an experiment to learn more about the human brain, what would you investigate? We posed this question in our Big Brain Competition last year, as part of the Brain Diaries exhibition with Oxford Neuroscience, and received a whopping 800 entries!

For the competition, Oxford University neuroscientists offered people the chance to use the state-of-the-art MRI scanner at Wellcome Centre For Integrative Neuroimaging at the John Radcliffe Hospital to investigate a burning question about the brain. We had ideas from the young and old, and by visitors from all around the world suggesting brilliant questions and some fascinating experiments.

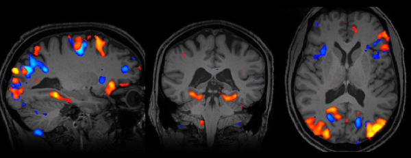
Memory_fMRI
Functional MRI image of the human brain using the MRI Scanner

To judge all the ideas, entries were split into categories: feasible experiments, unfeasible experiments, under 18s, and questions about the brain. WIN researchers compiled a long-list for each, which was ranked by a panel of neuroscientists and people from the museum to reach the eventual winners.

Sadly, only one experiment could be carried out, so an overall winner was picked from the ‘feasible experiments’ category. The winning experiment was suggested by Richard Harrow, who wanted to understand how the brain identifies voices.

A person is put in the MRI scanner with headphones on.  They are shown a photo of a person familiar to them, either a friend, family member or celebrity.  Then, in their headphones they are played the voice of a person, but the voice is either sped up or slowed down.
They are required to say whether the face on the photo matches the voice they have heard. What happens in the brain when this confusion of audio and visual information is occurring? Will the brain find a way to identify the vocal signature of the voice, even if distorted, and be able to say with conviction if the photo and the voice are a match?
– Richard Harrow, winning competition idea

IMG_4498 (2)
Competition winner Richard Harrow was interviewed alongside neuroscientist Dr Stuart Clare during the live streaming of the experiment

On the day of the experiment, the winners and runners-up headed over to the WIN Centre to watch Richard’s winning experiment being conducted. The experiment was streamed live by Oxford Sparks and we had a clear result from the test, as neuroscientist Dr Holly Bridge explains:

The scans show that when you’re getting information that corresponds in both your auditory and your visual system you get a boost in your brain activity. We can detect that the brain does respond differently depending on whether or not you can match the face with the voice; it clearly has a lot to do with expectation.

Stuart and Holly
The brains behind the Big Brain Competition, Dr Holly Bridge and Dr Stuart Clare explained the results of the experiment on a Facebook Live stream

The scientists also wanted to answer as many of the other great brain questions as possible. So a series of articles picks out some of the broad themes in the competition ideas, including lifestyle, muscle memory and stress. Researchers also answered more big questions live on Facebook during this year’s Brain Awareness Week.

We sorted the many entries in the Big Brain Competition into themes such as vision, lifestyle, and language

Thank you to everyone who suggested an experiment or asked a question; it made for a fascinating conclusion to the Brain Diaries exhibition, and has definitely increased the amount of brain activity from staff across the Museum and Oxford Neuroscience… if only there was an MRI scanner for us to see it!

IMG_3989
Winners of the Big Brain Competition at the Museum of Natural History with the neuroscientists. Left to right: James, Holly, Stuart, Misha, Richard, Lily, and Heidi

You can still get involved with the Big Brain Competition by trying the winning experiment at home.